Dites adieu au tartre en douceur : Découvrez l’embout de précision SmileOne

Dites adieu au tartre en douceur : Découvrez l’embout de précision SmileOne

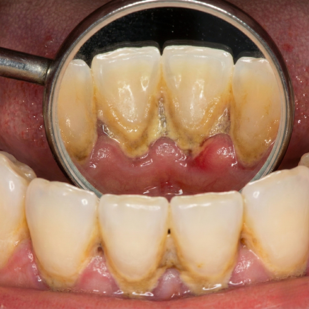
Vous brossez vos dents consciencieusement, et pourtant, de petits dépôts jaunâtres finissent toujours par apparaître entre vos dents ? C'est le tartre, et s'il n'est pas traité, il peut ternir votre sourire et fragiliser vos gencives.

L’embout anti-tartre SmileOne a été spécifiquement conçu pour combler le vide entre deux brossages : une solution de précision pour garder un sourire éclatant, sans quitter votre salle de bain.


Pourquoi le tartre est-il l'ennemi de votre sourire ?

Le tartre est de la plaque dentaire qui s'est minéralisée. Une fois durci, il est très difficile à déloger avec une simple brosse à dents. S'il s'accumule, il peut provoquer :

  • Une décoloration inesthétique des dents.

  • Une mauvaise haleine persistante.

  • Des inflammations gingivales.

La solution SmileOne : Efficacité pro, douceur absolue

L'embout anti-tartre SmileOne n'est pas un simple accessoire. C’est un outil de haute précision conçu pour agir là où les autres échouent.

  • Une action ciblée : Sa pointe ultra-fine et ergonomique permet d'atteindre les interstices les plus étroits et l'arrière des dents, là où le tartre aime se cacher.

  • Respect total de l'émail : Contrairement aux méthodes agressives, notre embout retire les dépôts légers par vibrations douces, garantissant la sécurité de votre émail dentaire.

  • Le complément idéal du dentiste : Ce n'est pas un remplacement pour votre détartrage annuel, mais c'est le meilleur moyen de prolonger les résultats de votre rendez-vous professionnel.


En résumé : Pourquoi vous allez l'adorer

Bénéfice Ce que cela change pour vous
Précision Chirurgicale Accédez aux zones de l'ombre que la brosse ignore.
Zéro Douleur Une conception douce pour les gencives sensibles.
Compatibilité S'adapte parfaitement à votre SmileOne ProClean.
Sourire Net Gardez une sensation de propreté "sortie de chez le dentiste".

Comment l'utiliser pour un résultat optimal ?

Il suffit de clipser l’embout sur votre SmileOne ProClean et de passer délicatement sur les zones où vous voyez des dépôts. En quelques secondes, vos dents retrouvent leur aspect lisse et propre.

L'astuce SmileOne : Utilisez cet embout une fois par semaine pour prévenir l'accumulation massive et garder un sourire impeccable en toute circonstance.

Retour au blog